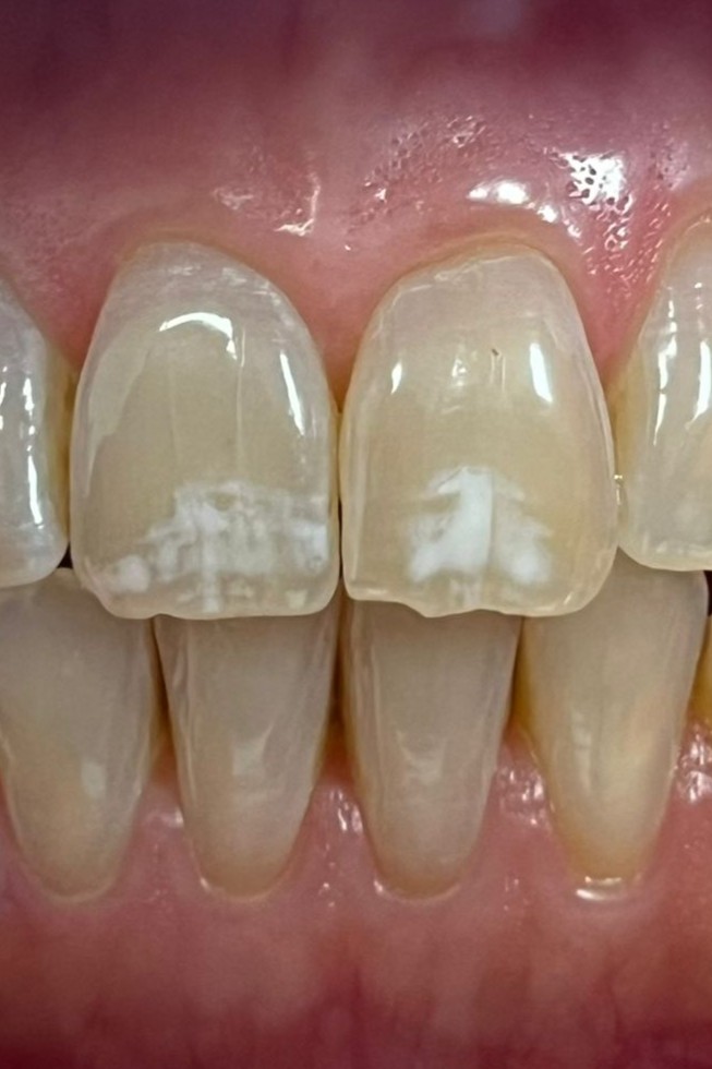
Weisse flecken auf den zähnen

Weisse Flecken auf den Zähnen entfernen

Weisse Flecken auf den Zähnen sind für viele Menschen ein ästhetisches Problem. Sie treten häufig im Bereich des Zahnschmelzes auf und können unterschiedliche Ursachen haben. Weisse Flecken auf den Zähnen können harmlose Mineralisierungsstörungen sein, in seltenen Fällen können es aber auch die ersten Anzeichen von Karies sein.

DIE ENTFERNUNG

Schonende Behandlung

Die Behandlung weisser Flecken auf den Zähnen richtet sich nach ihrer Ursache und Ausprägung. In vielen Fällen lassen sich diese Verfärbungen effektiv und schonend korrigieren.

Eine moderne und sehr schonende Methode ist die Infiltration mit Icon®. Hierbei handelt es sich um ein invasionsfreies Verfahren, bei dem poröse Schmelzbereiche mit einem speziellen flüssigen Kunststoff aufgefüllt werden. Dadurch wird die Lichtbrechung im Zahn verändert und die weissen Flecken werden optisch nahezu unsichtbar und dies ganz ohne Bohren oder Schmelzentfernung.

ZUSATZBEHANDLUNGEN

Weitere Optionen

Je nach Ausgangslage kann auch eine Kombination mehrerer Verfahren sinnvoll sein.im Rahmen einer Untersuchung beurteilen wir dies individuell.

Professionelle Zahnreinigung

Eine professionelle Zahnreinigung in Kombination mit einer gezielten Fluoridierung kann helfen, beginnende Entkalkungen zu stoppen und den Zahnschmelz zu remineralisieren. Diese Massnahme eignet sich vor allem bei oberflächlichen Veränderungen und dient gleichzeitig der Vorbeugung weiterer Schmelzdefekte.

Mikroabrasion

Bei stärker ausgeprägten Flecken kann die Mikroabrasion angewendet werden. Dabei wird eine hauchdünne Schicht des Zahnschmelzes vorsichtig abgetragen, um die betroffenen Stellen optisch zu verbessern. Dieses Verfahren ist minimalinvasiv und besonders effektiv bei oberflächlichen, gleichmässig verteilten Flecken.

FAQ

Häufig gestellte Fragen

Wir bieten Ihnen moderne und schonende Behandlungsoptionen, um die natürliche Ästhetik Ihrer Zähne wiederherzustellen.

Nicht immer. Einige Flecken sind rein ästhetischer Natur, andere – wie bei Initialkaries – deuten auf einen beginnenden Substanzverlust hin und sollten zahnärztlich abgeklärt werden.

In den meisten Fällen verschwinden sie nicht von selbst. Je nach Ursache und Tiefe der Veränderung sind jedoch ästhetische Korrekturen möglich, beispielsweise durch Mikroabrasion oder Infiltration mit Icon®.

Icon® ist ein minimalinvasives Verfahren, bei dem poröse Stellen im Zahnschmelz mit einem flüssigen Kunststoff infiltriert werden. Dieser gleicht die Lichtbrechung an das umliegende Gewebe an . Die Flecken werden dadurch unsichtbar, ohne dass Zahnsubstanz abgetragen wird.

Ein Bleaching hellt zwar den gesamten Zahn auf, kann weisse Flecken aber manchmal noch stärker hervorheben. Eine Kombination mit Icon® oder anderen Verfahren ist daher meist effektiver.

Wichtig sind eine ausgewogene Fluoridanwendung im Kindesalter, gute Mundhygiene, eine zahnschonende Ernährung und regelmässige zahnärztliche Kontrollen – insbesondere während kieferorthopädischer Behandlungen.

Viele Flecken entstehen bereits während der Zahnentwicklung im Kindesalter und werden erst später sichtbar. Aber auch Erwachsene können durch Säureeinwirkungen oder Kariesbildung betroffen sein.

Mögliche Ursachen sind eine übermässige Fluoridaufnahme in der Kindheit (Zahnfluorose), Mineralisationsstörungen, erste Anzeichen von Karies, Säureeinwirkungen oder eine unzureichende Mundhygiene während einer kieferorthopädischen Behandlung.

Fluorid
Fluorid stärkt den Zahnschmelz und schützt vor Karies. Entscheidend ist jedoch die richtige Dosierung – insbesondere im Kindesalter. Zu viel Fluorid kann zu Zahnfluorose führen, zu wenig erhöht das Kariesrisiko.

Wie kann ich mit einer Zahnspange weiße Flecken vermeiden?
Während einer kieferorthopädischen Behandlung ist eine besonders gründliche Mundhygiene entscheidend. Spezielle Bürsten, Interdentalreiniger und eine regelmässige Kontrolle helfen, Entkalkungen rund um die Brackets zu vermeiden.

Welche Rolle spielt die Ernährung?
Eine zahngesunde Ernährung mit wenig Zucker und Säuren unterstützt den Erhalt des Zahnschmelzes. Häufige Zwischenmahlzeiten und säurehaltige Getränke sollten vermieden werden, um die Remineralisierung nicht zu stören.

Warum sind regelmässige Zahnarztbesuche so wichtig?
Durch professionelle Kontrollen und frühzeitige Diagnosen können Veränderungen im Zahnschmelz rechtzeitig erkannt und behandelt werden – bevor bleibende weiße Flecken entstehen.

Was kann ich für mein Kind tun, um weiße Flecken zu vermeiden?
Neben einer ausgewogenen Fluoridanwendung und einer guten häuslichen Mundhygiene sollten Kinder regelmässig zur Kontrolle in die Zahnarztpraxis kommen. So lassen sich Risiken frühzeitig erkennen und gezielt vorbeugen.